劇的に進歩する肝臓病治療 肝がんは「治る」時代へ
肝がんは「治療が苦しい」「不治の病」といったイメージを持っていませんか? ここ数年で薬や治療法が大きく進歩し、入院せず外来のみで対応できることも増えてきました。 早期発見&適切な治療で「治る・改善する」病気になりつつあります。
早期発見は健診から
数値をきちんと見よう
体に必要な栄養分を貯蔵したり、有害物質を解毒・排出したり、脂肪の消化を助ける胆汁をつくったりと、私たちの健康を支える重要な臓器・肝臓。人体で最も大きい臓器ですが、「沈黙の臓器」とも言われるように異常があっても自覚症状が出にくく、腹部のしこりや黄疸、腹水などが現れた時には、多くの場合かなり病状が進行しています。
早期発見に不可欠なのは、定期的に健診を受けること。肝機能の異常は、年齢と血液検査の結果に重点を置いて総合的に判断します。検査項目のうち、肝機能にかかわるAST(GOT)・ALT(GPT)・γ-GTPの数値に注目してみましょう。これらの数値が高めなら要注意。逆に血小板の数を表すPLTは、低いほど注意が必要です。AST(GOT)・ALT(GPT)・PLTの数値と年齢を組み合わせて算出したスコアがFib4-index(フィブフォーインデックス)で、数値が1.3を超えると肝臓の線維化が進んでいる可能性があり、特に2.67以上の場合は、そのリスクはさらに高いとされます。ただし高齢者やアルコールをよく飲む人は、肝臓に異常がなくてもFib4-indexが高値になることがあるため注意が必要です。
健診で肝機能障害のリスクがある、もしくはリスクが高いと判断された場合は、二次検査でより詳しく調べることになります。二次検査の対象にはならなかった場合も、自分のスコアをよく見て、生活習慣の見直しにつなげましょう。
脂肪肝を放置しないで!
ウイルス性肝炎は減少
健診で一番多く見つかるのが、脂肪肝。肝臓に脂肪が溜まりすぎた状態を指し、暴飲暴食やメタボ、糖尿病など原因はさまざまです。お酒の飲みすぎによるアルコール性脂肪肝と、それ以外の非アルコール性脂肪肝に大別され、肥満や飲酒の習慣を見直し運動を取り入れるなど身近な努力で改善しやすいものの、一部は肝硬変や肝がんに進みやすい傾向も。放置せずに適切な指導・治療を受ける必要があります。
肝臓が炎症を起こした時は、それを修復するために肝臓内の線維成分が増加します。脂肪肝や肝炎を放置している、過度の飲酒を続けるなど、慢性的な悪影響で肝細胞の再生が間に合わなくなると、どんどん線維成分が増えて肝臓が硬く変化します。この状態が肝硬変といわれ、肝がんを引き起こす要因の一つでもあります。
ウイルス性のB型・C型肝炎はこれまで肝がんの大きな発症要因となる病気でしたが、近年は患者数が減少傾向。輸血問題のイメージがつきまといがちなC型肝炎も、現在輸血歴のある患者さんは半分以下となりました。効果が高く副作用の少ない薬が誕生したことから「薬で治せる」時代になり、専門医に正しく指導を受ければC型肝炎は投薬でほぼ全例が完治、B型肝炎も投薬で症状をコントロールできるとされます。
飲酒習慣にかかわらず
肝がんのリスクあり
肝がんは、他の臓器から転移した「転移性肝がん」と、肝機能障害やウイルス性肝炎などに由来する「原発性肝がん」の大きく二つに分類されます。原発性肝がんには肝細胞ががん化した「肝細胞がん」と胆管細胞ががん化した「肝内胆管がん」があり、単に「肝がん」という時は肝細胞がんを指すのが一般的です。
近年の肝がんは、B型、C型肝炎やアルコール性肝炎由来の肝硬変からだけでなく非アルコール性脂肪性肝炎(NASH:ナッシュ)から発症するケースも増えており、「お酒を飲まないからリスクが低い」とは限りません。早い段階で肝機能の異常を発見するためには、検査の精度が問われます。
健診で要検査となったら、二次検査では主に腹部エコー検査を行います。当院はハイエンドの超音波診断装置を数台常備。以前撮影したCTやMRIの画像を超音波画面に取り込むことで、通常の超音波装置では指摘困難な小さな腫瘍を確認・評価しやすい特長もあります。
万が一腫瘍が見つかった場合は、造影CT検査や造影MRI検査を行います。CTは被ばくのリスクがありますが、通常の検査では被ばくの影響が少なく、当院のCTは通常より被ばく量を低減する装置も常備されています。MRIはCTに比べて検査時間が長くなりますが、CTと違って被ばくの心配はなく、CTよりも早期の肝がんを発見しやすいといわれています。
CTやMRIで診断がつかない場合などは超音波ガイド下肝生検で組織を採るなどして、更に詳しく調べていくことになります。二次検査が必要になったからといって肝がんだと決まったわけではありませんから、早期発見・早期治療、そして自分自身の安心のためにも、気軽な気持ちで受診してください。
肝がんと診断された場合、主な治療法には消化器外科が担当する「手術」と、消化器内科の分野である「経皮的穿刺治療(主にラジオ波焼灼術)」「血管造影(主に肝動脈塞栓術)」「化学療法」の4つがあり、必要に応じて外科・内科・放射線科が連携しながら治療に当たります。特に当院の経皮的穿刺治療と血管造影は、全国トップ水準かつ体に負担の少ない治療を行える環境が整っています。
ただし、いずれの治療法も、がんの進行度だけでなく患者さんの肝機能によって効果が大きく左右されます。肝機能が良好なほど治療の選択肢は増え、時には肝臓以外の臓器に転移していたがんが縮小・治癒するケースもあるほどです。
肝がんの主な治療法
❶肝切除
いわゆる外科手術。全身麻酔で行いますが、開腹手術より低侵襲な腹腔鏡手術で済むことも多くなりました。ごく部分的に切除する場合から「肝葉」と呼ばれる左右の片方を大きくとる場合まで、腫瘍の大きさや場所によって術式はさまざまです。
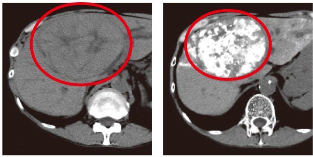
❷ラジオ波焼灼術(RFA)
極細の電極針を体の外から刺して腫瘍を直接焼灼する治療。最近の報告では2~3センチ以下・3個くらいまでの腫瘍であれば、外科手術と同等の成果があるとされ、焼灼に必要な時間は5~10分程度。当院では局所麻酔に加え、眠たくなる薬を併用して鎮静下で行うため寝ている間に終わり、痛みはほとんど感じません。皮膚の傷は数ミリで、術後は3時間ほどで歩けるようになるなど、体に負担が少ないのも患者さんにとってのメリットです。最近では3センチ以上の大きさの肝がんにも焼灼可能な機械が開発され、当院でも導入しています。
❸肝動脈塞栓術(TACE)
血管内にカテーテルを挿入し、肝がんに栄養を送っている血管から薬剤を注入する、血管造影検査とも呼ばれる治療法。局所麻酔で行います。心臓などの血管造影検査では足の付け根か手首のいずれかの動脈から穿刺することが多く、腹部の血管造影検査では足の付け根からの穿刺が一般的です。しかし当院は全国でも珍しく、腹部血管造影検査でも手首の橈骨動脈から穿刺して行います。足の付け根から穿刺する場合と違い術後の安静時間がまったく必要なく、患者さんの体の負担も少ないのが特長。腹部血管造影において手首からの穿刺は高い技術が求められるため、現在全国では当院を含め、東京の虎ノ門病院など3施設ほどでしか実施していません。
❹化学療法
従来の抗がん剤とは違う、分子標的治療薬や免疫チェックポイント阻害薬といわれる新薬を用いた治療。この分野は2018年にノーベル医学生理学賞を受賞した京都大の本庶佑特別教授の研究をもとに新薬が開発されるなど、ここ数年で劇的な進歩がみられます。かつての化学療法は「副作用が強い」イメージがありましたが、現在は副作用も以前に比べて劇的に軽減され、ほとんどの症例が入院をせずに、外来で治療を開始しています。治療効果も飛躍的に向上し、肝機能が良好であれば、高齢の進行肝がんでも治癒する症例があります。
消化器内科副部長
小川 力(おがわちから)
日本肝臓学会専門医・指導医/日本超音波医学会超音波専門医・指導医
1999年近畿大学卒。肝がんの診断・治療の世界で最も有名とされる工藤正俊教授に師事。
2007年に高松赤十字病院へ、11年から現職。オフの日は息子の野球に付き合うのが楽しみ。
現在の消化器内科は、若手医師を含めた8人体制。香川は肝臓病治療のレベルがもともと高い傾向があり、当院でも肝臓病に関して国内最高水準の治療ができると自負しています。最新情報や最先端の設備をスムーズに反映できる当院の環境を生かし、消化器治療を志す若手医師にとって魅力ある病院づくりを目指して、優秀な人材をさらに増やしていきたいところです。
患者さんには、日頃から「自分の家族だ」と思って向き合っています。肝臓の病気は昔に比べて治療がとても楽になってきていますから、患者さんにもそうした情報を発信し、気軽な受診と治療につなげたいですね。



