放射線治療の流れ
CTやMRIの画像をもとに、どこにどのくらいの放射線を当てるかのプランを立てる「治療計画」が最も重要かつ時間のかかる作業で、早くても数時間、長ければ1日がかりでパソコン上で綿密に計画します。さらにパソコンの計算が本当に正しいかをチェックするための「線量検証」を数日掛かりで行い、ようやく実際に患者さんに照射する段階に入ります。
「高精度放射線治療」とは
目に見えない・痛くもかゆくもない・体のどんな部位にも照射できる放射線治療は、「外科手術」「抗がん剤」とともにがん治療の柱。何らかの理由で手術ができなくても放射線治療や抗がん剤との併用で根治を目指せます。手術後の補助療法や「治せなくても痛みを和らげたい」時の緩和照射にも威力を発揮します。
従来の放射線治療では均一に放射線を照射するため、正常な組織にも当たり副作用が避けられませんでした。これに対し、正常組織への影響を最小限に抑えつつ腫瘍に集中的に照射できる、治療効果の高い効率的な照射方法が開発されており、これを「高精度放射線治療」と呼びます。
近年、当院でも高精度放射線治療を受ける患者さんが増加しており、全体の4割以上を占めています。肺がんの手術歴があり、再発したため高精度放射線治療を受けて経過も順調な80代の患者さんが、「こんなんで治るんか!」と負担の少なさに驚かれた例も。入念な準備が必要なため「じっくり根治を目指す」患者さん向きの治療法で、早く痛みをやわらげたいなど急を要する場合は通常の放射線治療で対応します。
当院で取り組む高精度放射線治療など
IMRT(強度変調放射線治療)、VMAT(強度変調回転放射線治療)
体の周りをいろんな方向から、正常な組織になるべく影響が出ないよう放射線の濃度を細かく変えつつ照射するのが「IMRT」。当院ではさらに進化した、IMRTを回転させながら照射することでより効率的に照射できる「VMAT」を導入しています。いずれも30回程度の照射が必要である点は通常の放射線治療と同じで、「転移のないがん」を対象とするなど一定の制約があります。
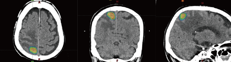
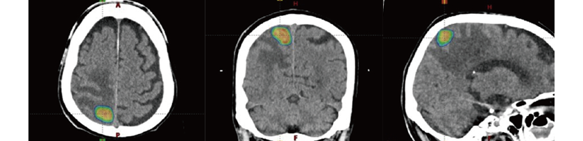
定位照射
主に脳や肺・肝臓の「小さい病変」を対象に、いろんな方向から非常に高い線量をピンポイントで患部に当てる方法。1~数回の照射で高い効果を出すことができ、患部を「焼き切る」イメージで外科手術の代わりに使われることの多い手法です。肺がん患者さんの場合、手術より高いQOL(生活の質)を維持できるというアンケート結果も。
1回当たりの線量が多いため、照射中にじっとしていなくてはいけない時間が長く、患者さんの体形などに合わせたオーダーメイドの固定具でサポートします。保険上の制約はありますが、転移があっても照射でき、近年少しずつ適用範囲が広くなってきています。
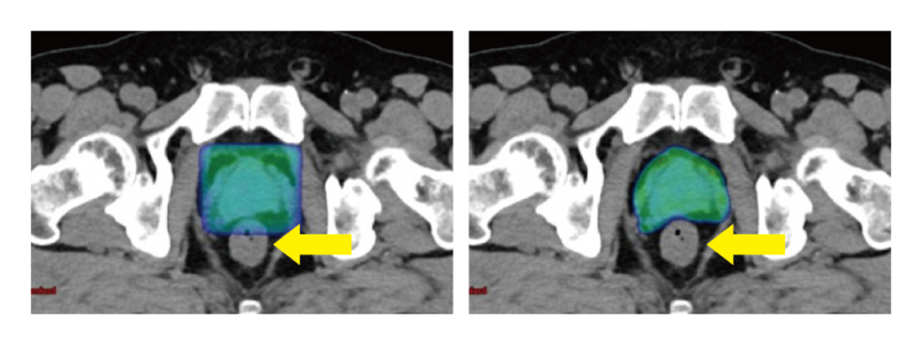
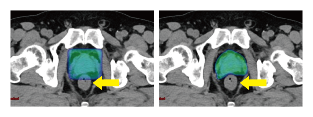
DIBH(深吸気息止め)
左乳がんへの放射線治療において、心臓への放射線被ばくを減らし心臓障害のリスクを下げる方法。当院では昨年から、左乳がんの乳房温存術後照射に導入しています。大きく息を吸うことで肺をふくらませ、心臓と患部が十分に離れた状態を維持している間に照射します。
寡分割照射
放射線治療は通院回数が数十回に及ぶのが患者さんにとっては難点ですが、当院では1回当たりの線量を上げる「寡分割照射」によって通院回数を抑える取り組みに力を入れています。治療期間が短くなっても治療効果や副作用は変わらないという研究結果も出ており、数年前から乳がんに、昨年からは一部の前立腺がんに適用。乳がんの場合、25回の通院が16回に減る例もあり、通院の負担軽減に貢献しています。
高精度治療を支える人と技術
高精度放射線治療では、照射位置を正確に決める必要があります。このため、毎回の治療時に画像を撮影して位置を正確に合わせ込む「画像誘導放射線治療」を行います。また、呼吸で動く部位には、所定の位置に患部が収まる時だけ照射する「呼吸同期照射」により精巧な治療を実現しています。左乳がんの術後照射では、深吸気息止め(DIBH)により心臓への照射を避けることができます。
乳がんの乳房温存術後照射や前立腺がんの根治照射には、1回あたりの線量を従来よりも増やし、通院回数を少なく抑える寡分割照射を導入しています。「線量が高いと副作用は?」「回数が少なくても効くの?」といった心配は要りません。経験豊富な放射線治療医師2名、放射線治療専門放射線技師や物理士、がん放射線療法看護認定看護師といった治療中の患者ケアや機器に精通した専門スタッフが常駐し、患者さん1人1人にしっかり時間をかけて対応するのが当院の強み。チームで患者さんの心身をサポートし、安心して放射線治療を受けられる環境が整っています。



