肝臓は人体で最も大きい臓器であり、異常があっても自覚症状が出にくい「沈黙の臓器」。 肝臓にできるがんにはいくつか種類がありますが、単に「肝がん」という場合は肝細胞がんを指すのが一般的です。
原因
「肝硬変→肝がん」だけじゃない、脂肪肝も要注意!
肝臓が炎症を起こすと、修復するために肝臓内の線維成分が増加します。肝炎や脂肪肝(肝臓に脂肪が溜まりすぎた状態)を放置したり、過度の飲酒を続けたりと、慢性的な悪影響で肝細胞の再生が間に合わなくなると、どんどん線維成分が増えて肝臓が硬く変化します。この状態が肝硬変といわれ、肝がんを引き起こす一因となっています。
アルコールや糖尿病が原因の肝がん、増加中!
ウイルス性のB型・C型肝炎はこれまで肝がんの大きな発症要因となる病気でしたが、効果が高く副作用の少ない薬が誕生したことから「薬で治せる・コントロールできる」時代になり、近年は患者数が減少しています。
一方で増えているのが、安価で度数の高いお酒の普及によるアルコール性肝がんと、暴飲暴食・メタボ・糖尿病などによる脂肪肝から肝がんを発症するケースです。特にハイボールや酎ハイなど口当たりの軽いお酒は、つい飲みすぎがち。また、糖尿病患者さんが肝がんにかかるリスクは、それ以外の人の2~4倍ともいわれます。
また、「肝がんは肝硬変が悪化したもの」とは限りません。脂肪肝から肝硬変を経ずに肝がんを発症する場合もあり、近年の脂肪肝の増加から無視できない数となっています。脂肪肝の段階であれば生活習慣の見直しで改善しやすいため、放置せず早めに適切な指導・治療を受ける必要があります。
予防
できることから少しずつ! 肝臓を守るコツ
健やかな毎日はあらゆる病気の予防につながります。
取り組みやすいことから少しずつ生活に取り入れてみましょう。
休肝日を設けて適度な飲酒を
お酒をおいしく楽しみ続けるためにも、適量を守って。肝臓の病気と診断された場合、飲酒は厳禁です!
主食・主菜・副菜をバランスよく
良質なたんぱく質・ビタミンやミネラルが豊富な緑黄色野菜・タウリンの豊富な魚介類・食物繊維をたっぷり含む、低カロリーで満腹感の高いメニューを意識して
継続的な運動でリフレッシュ
目安は1週間に150分以上。軽く汗をかく程度の有酸素運動のほか、簡単な筋トレも効果があるとされます。大切なのは「続ける」こと!
検査
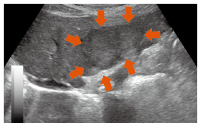
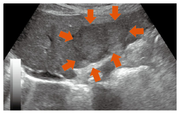
年に一度は腹部エコーを撮ろう!
肝臓に腫瘍があるかどうかは、画像診断でわかります。もちろん良性の場合もありますが、肝機能が落ちてから画像を撮ってみたら大きい腫瘍が見つかった…というケースも。
脂肪肝から肝がんへのリスクが高い糖尿病の患者さんや予備軍に当たる人は、年に一度を目安に、かかりつけ医でお腹のエコーを撮ることをお勧めします。
肝硬変・肝がんのリスクは血液検査でチェック
肝臓の繊維化や肝機能の異常を判断する目安になるのが、血液検査です。以下を参考に自分の数値をチェックしてみましょう。健診で肝機能障害のリスクが高いと判断された場合は、二次検査をきちんと受けるとともに、生活習慣の見直しを!
こんな人は肝機能をチェック!
□糖尿病・糖尿病予備軍
□脂肪肝と言われたことがある
□健診で肝機能異常を指摘された
□一日に飲むお酒の量が多い
□腹部エコーを受けたことがない
□BMI25以上
二次検査でより詳しく
健診やかかりつけ医でリスクが高いと判断された場合は、二次検査を行います。肝がんだと決まったわけではありませんから、気軽な気持ちで受診してください。
二次検査で腫瘍が見つかった場合は、造影CT検査や造影MRI検査を行い、それでも診断がつかない場合は、超音波ガイド下肝生検で組織を採るなどしてさらに詳しく調べていきます。当院では高性能の超音波診断装置を数台そろえ、超音波造影剤を用いた検査は全国トップレベル、副作用もほとんどありません。
治療
外科・内科が連携してより高い効果を追求
肝がんの主な治療法は4つあり、必要に応じて外科・内科・放射線科が連携して治療に当たります。治療の効果は、がんの進行度と患者さんの肝機能状態に大きく左右され、肝機能が高いほど治療の選択肢は増えます。進行している場合は手術に先立って抗がん剤で抑制することもあり、近年は手術・ラジオ波・血管内治療と抗がん剤を組み合わせることで、がんを制御できる例も増えてきました。
手術(肝切除)
腫瘍が大きい場合に肝胆膵外科が担当する治療で、当院では低侵襲な腹腔鏡手術で対応します。肝臓は正常な状態であれば3分の2を切除しても約1年でほぼ元通りに肥大していきますが、回復力は肝機能によるため、患者さんの肝機能を示す「ICG値」と3Dシミュレーションで、どのくらい切除できるかを医師が細かく検討します。ごく部分的な切除で済む場合は、1週間程度で退院できることも。大量に切除する場合は、腫瘍に栄養を送る血管をふさいで腫瘍を小さくするなど、できるだけ少ない切除で肝不全のリスクを軽減してから手術に臨みます。
術後の経過観察や治療は主に消化器内科が担当し、退院後も通院による定期検査を行います。肝がんは再発しやすいといわれますが、もし再発しても、遠隔転移ではなく再び肝臓に出ることが多い傾向があります。早めに見つかれば、再発した場合も手術で対応できます。
手術前の3D画像解析で入念にシミュレーション
当院では手術の際、CTやMRI画像を取り込み、腫瘍の位置や重要な血管の配置を3D画像で再構築する画像解析システムを活用しています。執刀医は解析した3D画像を元に、正常な組織にできるだけ影響を与えず、確実に出血をコントロールするなどの詳しいシミュレーションを行い、患者さんに合わせて具体的な手術の手順を詳しく組み立てていきます。残すべき肝臓の量も計算できるため、難易度の高い症例でも入念に検討してから手術に臨むことができます。
関連
⋙高松赤十字病院 消化器外科のぺージ
⋙肝胆膵外科の最新情報 新体制で挑む肝がん治療



